Carolyn

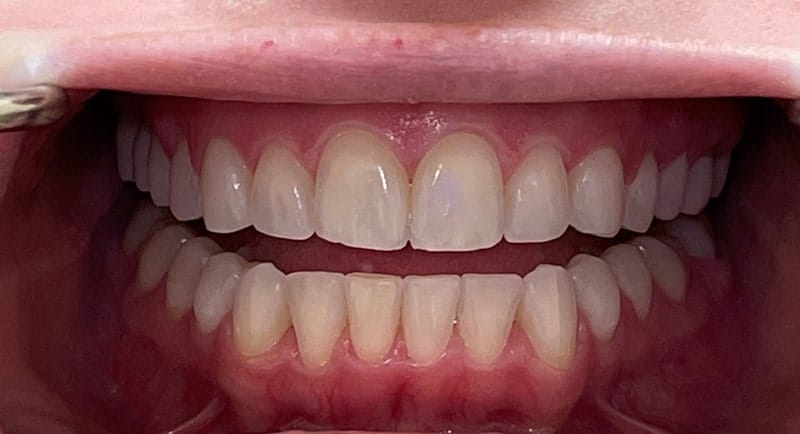
Procedures Performed: Restorative bonding + Crown , teeth cleaning, teeth whitening, and Invisalign.

Before

Patient before treatment

After

Patient after restorative bonding and Invisalign.