Sherry

Procedures Performed:  Porcelain crowns, whitening, implant, Invisalign, deep cleaning and bone grafting.

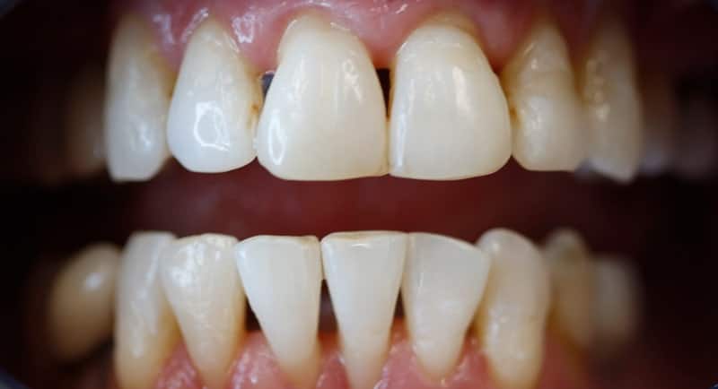
Before

Patient before treatment.
Close up of patient's teeth after cosmetic dentistry.

After

Patient after cosmetic dentistry.
Close up of patient's teeth after cosmetic dentistry.